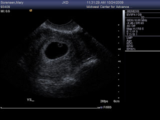
We got to see our little bean and we saw the heartbeat! The due date was confirmed and is still June 11th!! We are thinking of doing a pool for the due date and weight of the baby for some fun!
(Eric is picking his birthday June 15th)
(I am picking June 8th)
I am still feeling great, no morning sickness or anything yet! I have just been very tired lately, but I'm getting used to it!
Cravings have been pretty under control lately, the only thing i've been really "I have to have it" is for Flamin' Hot Cheetos. Which is hilarious!
I go back to the doctor on Monday, November 2nd!
Tomorrow is My and Eric's 1st wedding anniversary and we are leaving for Las Vegas. We will be gone from Sunday-Thursday and we can't wait to just get away!!!!
LOTS OF LOVE to you all! Thank you so much for all your support and love!!
Love,
Mary, Eric, and "The Bean"



No comments:
Post a Comment